Fale Comigo
Whatsapp

Imagens

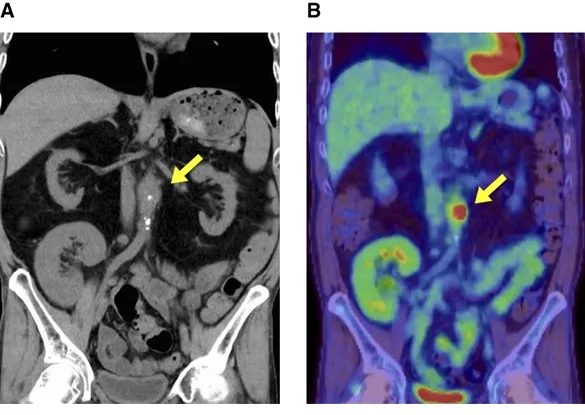
Aortite em um transplantado renal: raro, mas com implicações importantes

Valkercyo Feitosa

2025-04-08

Recomendação de posts Nefroupdates